Cirurgia Fetal
Receber o diagnóstico de síndrome de transfusão feto-fetal durante a gestação gemelar é um momento de muita incerteza. O nome é longo, técnico, e a informação disponível nem sempre é clara para quem não é médico. Este artigo explica o que é a STFF, por que ela acontece, como o diagnóstico é feito e quais são as opções de tratamento — com linguagem acessível e sem minimizar a seriedade da condição.

O que é a síndrome de transfusão feto-fetal
A síndrome de transfusão feto-fetal — conhecida pela sigla STFF, ou em inglês twin-to-twin transfusion syndrome (TTTS) — é uma complicação grave que ocorre exclusivamente em gestações gemelares monocoriônicas. Isso significa gestações em que dois bebês compartilham a mesma placenta.
Nesse tipo de gestação, os dois fetos estão conectados por vasos sanguíneos que atravessam a placenta — as chamadas anastomoses vasculares. Na maioria das gestações gemelares monocoriônicas, esse compartilhamento funciona de forma equilibrada. Mas quando o fluxo de sangue entre os fetos fica desbalanceado, instala-se a STFF.
A síndrome afeta entre 10 e 15% das gestações gemelares monocoriônicas-diamnióticas — aquelas em que cada bebê tem seu próprio saco amniótico, mas compartilham a mesma placenta. É mais rara nas gestações monocoriônicas-monoamnióticas, em que os bebês também dividem o mesmo saco.
Por que a STFF acontece: o papel das anastomoses placentárias
A principal causa da STFF é o desequilíbrio nas anastomoses arteriovenosas profundas da placenta. Para entender isso, é preciso saber que existem diferentes tipos de conexões vasculares entre os fetos:
- Anastomoses arterioarteriais e venovenosas: permitem fluxo em ambas as direções, funcionando como válvulas de segurança que compensam desequilíbrios
- Anastomoses arteriovenosas: permitem fluxo em apenas uma direção — do feto doador para o feto receptor
Quando as anastomoses arteriovenosas são numerosas e as conexões bidirecionais são poucas, o sangue passa sistematicamente de um feto para o outro sem compensação. Com o tempo, esse fluxo unidirecional provoca consequências sérias nos dois bebês — em direções opostas.

Como a STFF afeta cada feto: doador e receptor
Na STFF, os dois fetos são afetados de formas distintas:
O feto doador
Perde sangue continuamente para o companheiro de gestação. Com menos volume circulante, seu organismo reage:
- Produz menos urina (oligúria)
- O líquido amniótico ao seu redor diminui progressivamente (oligoidrâmnio)
- Pode ficar “aprisionado” contra a parede do útero, sem espaço para se movimentar — o chamado feto stuck
- Em casos graves, a bexiga pode não ser visível no ultrassom
O feto receptor
Recebe sangue em excesso e seu organismo também sofre as consequências:
- Produz urina em excesso (poliúria)
- O líquido amniótico ao seu redor aumenta (polidrâmnio)
- O coração trabalha sob sobrecarga — o que pode levar a insuficiência cardíaca fetal, disfunção ventricular e insuficiência das valvas atrioventriculares
- O coração pode estar aumentado (cardiomegalia)
Essa assimetria — um feto com muito pouco líquido, outro com excesso — é justamente o padrão que o médico observa no ultrassom para suspeitar e confirmar o diagnóstico.
Quando a STFF costuma aparecer
A síndrome de transfusão feto-fetal se manifesta predominantemente no segundo trimestre. A maioria dos casos surge entre a 17ª e a 22ª semana de gestação — uma janela relativamente estreita, mas que concentra o maior risco. Após a 26ª semana, o aparecimento da STFF é raro, embora não impossível.
Essa concentração no segundo trimestre torna o acompanhamento ultrassonográfico regular ainda mais importante: todas as gestações gemelares monocoriônicas devem realizar ultrassom no mínimo a cada duas semanas, a partir de 16 semanas.
E essa frequência não deve diminuir depois de 26 semanas. Mesmo que o risco de STFF caia no terceiro trimestre, a avaliação quinzenal continua necessária para identificar a restrição de crescimento seletiva — outra complicação própria das gestações monocoriônicas, que tende a se manifestar no final da gravidez. Ou seja, gestação monocoriônica tem indicação de ultrassom quinzenal do início ao fim.
Sinais que podem chamar atenção
Embora o diagnóstico definitivo da STFF seja ultrassonográfico, existem sinais clínicos que podem — e devem — levantar a suspeita antes mesmo do próximo exame de imagem.
Na avaliação clínica do pré-natal
Durante as consultas de pré-natal, o obstetra mede a altura uterina — a distância entre o osso púbico e o fundo do útero. Nas gestações monocoriônicas com STFF, o útero pode crescer muito mais rápido do que o esperado para a idade gestacional, por conta do acúmulo excessivo de líquido amniótico no saco do feto receptor. Um útero desproporcionalmente grande é um forte indício clínico de STFF e deve motivar avaliação ultrassonográfica imediata.
Por isso, mesmo com ultrassons quinzenais, a avaliação clínica cuidadosa em cada consulta de pré-natal é fundamental nos casos de gestação gemelar monocoriônica.
Sinais percebidos pela gestante
Algumas mudanças são percebidas pela própria gestante — às vezes antes da próxima consulta:
- Aumento rápido e desproporcional do volume abdominal — é comum a gestante relatar que, de um dia para o outro, as roupas deixaram de servir. Esse crescimento abrupto é causado pelo polidrâmnio no saco do feto receptor
- Redução dos movimentos fetais — especialmente do feto doador, que com pouco líquido ao redor tem menos espaço para se mover
- Desconforto abdominal intenso ou dificuldade para respirar — pelo aumento excessivo do volume uterino
Esses sinais devem ser comunicados ao médico imediatamente, especialmente em gestações gemelares com placenta única.
⚠ QUANDO PROCURAR AVALIAÇÃO ESPECIALIZADA COM URGÊNCIA
Em gestações gemelares monocoriônicas, procure seu médico ou um especialista em medicina fetal sem demora se você notar:
- Aumento rápido da barriga em poucos dias
- Redução dos movimentos de um ou dos dois bebês
- Desconforto abdominal intenso ou dificuldade para respirar
- Diagnóstico de diferença de líquido amniótico entre os dois fetos no ultrassom
- Qualquer suspeita de polidrâmnio em uma das bolsas
- Diagnóstico de gêmeos monocoriônicos sem acompanhamento especializado regular
Como é feito o diagnóstico da STFF
O diagnóstico da síndrome de transfusão feto-fetal é feito por ultrassonografia. Os critérios diagnósticos clássicos são:
- Gestação gemelar monocoriônica confirmada — a corionicidade deve ser determinada preferencialmente no primeiro trimestre, pela medida da translucência nucal e pela avaliação do número de placentas
- Polidrâmnio no saco do feto receptor — coluna máxima de líquido amniótico acima de 8 cm antes de 20 semanas ou acima de 10 cm após 20 semanas
- Oligoidrâmnio no saco do feto doador — coluna máxima de líquido amniótico abaixo de 2 cm
O exame de Doppler — que avalia o fluxo sanguíneo nos vasos dos fetos — é essencial para o estadiamento e para guiar decisões de tratamento. Padrões anormais de fluxo na artéria umbilical, no ducto venoso e em outros vasos indicam gravidade maior.
Uma armadilha diagnóstica: confusão com gestação monoamniótica
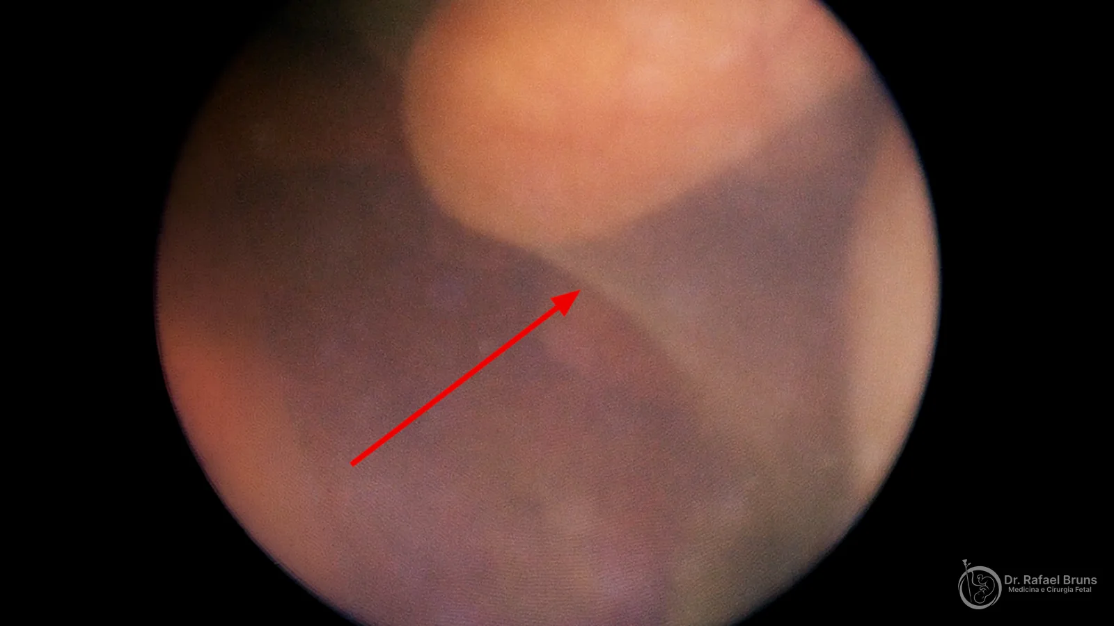
Um ponto que merece atenção: não é incomum que um caso de STFF seja confundido com uma gestação monoamniótica — ou seja, uma gestação em que os dois bebês dividem o mesmo saco amniótico. Essa confusão acontece porque, na STFF avançada, o feto doador fica com tão pouco líquido que a membrana intergemelar se cola sobre o seu corpo, tornando-se praticamente invisível ao ultrassom. Um examinador menos experiente pode não identificar a membrana e concluir, erroneamente, que existe apenas uma bolsa.
A distinção é importante porque a conduta é diferente. Se houver dúvida sobre a presença da membrana, a avaliação por um especialista em medicina fetal pode esclarecer o diagnóstico.

Estadiamento de Quintero: entendendo a gravidade
A gravidade da STFF é classificada pelo estadiamento de Quintero, que divide a síndrome em cinco estágios progressivos. Esse sistema é fundamental para entender o que o médico está avaliando e para guiar a decisão de quando e como intervir.
Para uma explicação detalhada de cada estágio e como ele influencia a conduta, leia o artigo completo sobre a classificação de Quintero na STFF.
De forma resumida:
Estágio I
Diferença de líquido amniótico presente, bexiga do doador visível, Doppler normal.
Estágio II
Bexiga do doador não visível no ultrassom.
Estágio III
Alterações no Doppler — fluxo ausente ou reverso na artéria umbilical, ducto venoso com fluxo reverso na onda A, ou veia umbilical pulsátil.
Estágio IV
Hidropisia fetal — acúmulo de líquido em cavidades do feto.
Estágio V
Óbito de um ou ambos os fetos.
O estadiamento não é sempre linear — a STFF pode progredir rapidamente de estágios iniciais para avançados em poucos dias. Por isso, quando o diagnóstico é feito, a avaliação especializada deve ser imediata.
Qual o risco se a STFF não for tratada
A STFF não tratada tem prognóstico muito grave. A mortalidade fetal em casos não tratados pode superar 80% — e em algumas séries, especialmente quando a síndrome se desenvolve antes da 28ª semana, o risco de perda de ambos os fetos pode ser ainda maior.
Além da morte fetal intrauterina, as complicações da STFF sem tratamento incluem:
- Ruptura prematura de membranas
- Parto pré-termo em idades gestacionais muito precoces
- Sequelas neurológicas nos bebês que sobrevivem
- Morte de um dos fetos, com risco de sequelas graves para o sobrevivente pela alteração hemodinâmica aguda que se segue ao óbito gemelar
Esses dados são da literatura médica especializada e refletem o comportamento natural da doença sem intervenção.
Tratamento: a ablação a laser das anastomoses placentárias
O tratamento padrão-ouro para a STFF é a ablação a laser das anastomoses vasculares placentárias, realizada por fetoscopia. O procedimento introduz uma câmera fina (fetoscópio) no útero, guiada por ultrassom, para identificar e coagular com laser os vasos que conectam os dois fetos — especialmente as anastomoses arteriovenosas responsáveis pelo fluxo desequilibrado.
O procedimento é indicado principalmente nos estágios II a IV de Quintero, geralmente entre 18 e 26 semanas de gestação. Para uma explicação detalhada de como a cirurgia é realizada, seus riscos e o que esperar, leia o artigo sobre o laser placentário para transfusão feto-fetal.
O que os dados mostram sobre os resultados
A ablação a laser aumentou significativamente a sobrevivência de bebês com STFF. Dados da literatura médica mostram taxa de sobrevivência de pelo menos um dos fetos em torno de 80% após o procedimento — um resultado muito diferente do prognóstico sem tratamento.
A ablação a laser não é garantia de sobrevida de ambos os gêmeos. A perda de um ou dos dois fetos ainda ocorre em uma parcela dos casos, mesmo após a cirurgia. O resultado depende do estágio no momento da intervenção, das condições cardíacas dos fetos e de outros fatores clínicos avaliados individualmente.
Após a cirurgia, o acompanhamento com ultrassom deve ser realizado a cada 15 dias para monitorar a resposta ao tratamento e a vitalidade de ambos os bebês. Para entender os resultados esperados, as complicações possíveis e o protocolo de acompanhamento, leia o artigo sobre o que esperar após a cirurgia a laser.

O que esperar após o diagnóstico
O período entre o diagnóstico e a decisão de tratar costuma ser muito difícil para as famílias. Algumas orientações práticas:
Confirme a corionicidade. Se ainda há dúvida sobre se os gêmeos são monocoriônicos, isso precisa ser esclarecido com urgência.
Busque avaliação em centro especializado. A STFF exige médico com experiência em gestações gemelares de alto risco e, se houver indicação de laser, em cirurgia fetal fetoscópica.
Peça segunda opinião se tiver dúvida. Casos com diagnóstico incerto ou estadiamento limítrofe se beneficiam de uma segunda avaliação. A teleconsulta em medicina fetal pode ser uma forma de acessar essa opinião sem se deslocar.
Entenda o estágio. Pergunte ao seu médico em qual estágio de Quintero está o seu caso.
Saiba quando encaminhar. Se você ou seu médico querem entender os critérios de encaminhamento por estágio, leia o artigo sobre quando encaminhar para cirurgia fetal.
Perguntas frequentes
Referências
- Quintero RA, Morales WJ, Allen MH, et al. Staging of twin-twin transfusion syndrome. J Perinatol. 1999;19(8 Pt 1):550-555.
- Senat MV, Deprest J, Boulvain M, et al. Endoscopic laser surgery versus serial amnioreduction for severe twin-to-twin transfusion syndrome. N Engl J Med. 2004;351(2):136-144.
- ISUOG — diretrizes para acompanhamento de gestações gemelares monocoriônicas (consultar versão vigente).
- UpToDate — Twin-to-twin transfusion syndrome: management and outcome (consultar versão vigente).
Conteúdo com finalidade educativa. Não substitui avaliação médica individualizada. Diagnóstico e tratamento dependem de consulta presencial ou por telemedicina.

