Complicações placentárias
A placenta prévia é uma condição em que a placenta se implanta na parte inferior do útero, cobrindo parcial ou totalmente o colo uterino. Entender o que o diagnóstico realmente significa — e o que ele não significa — faz diferença no acompanhamento e no desfecho.

O que é placenta prévia — e como é classificada
A placenta prévia ocorre quando a placenta se implanta no segmento uterino inferior — a porção mais baixa do útero — e sua borda alcança ou cobre o colo uterino, estrutura que se abre durante o trabalho de parto. Isso compromete a passagem do bebê pelo canal vaginal quando a cobertura é total e pode provocar sangramento à medida que o segmento inferior se expande no terceiro trimestre.
A classificação adotada por grupos internacionais de especialistas baseia a definição na distância entre a borda placentária e o orifício interno do colo:
- Posição normal: borda a 20 mm ou mais do orifício interno — sem risco relacionado à posição
- Placenta de inserção baixa: borda a menos de 20 mm do orifício, sem cobri-lo
- Placenta prévia: borda que alcança ou cobre o orifício interno do colo
Esse critério de 20 mm é válido a partir de 16 semanas — antes disso, a relação entre placenta e colo ainda é muito variável para ter significado clínico definitivo.
Clique nas abas para ver os tipos de placenta prévia

Posição normal: a placenta está implantada no fundo ou corpo do útero, longe do colo uterino. Esta é a localização habitual e não traz riscos relacionados à posição placentária.

Posição marginal: a borda da placenta chega até a margem do orifício interno do colo uterino, sem cobri-lo. Pode resolver espontaneamente com o crescimento do útero.

Posição parcial: a placenta cobre parcialmente o orifício interno do colo. O parto vaginal geralmente não é recomendado nessa situação.

Posição total: a placenta cobre completamente o orifício interno do colo uterino. A cesárea é obrigatória. É o tipo de maior risco para sangramento.
Ilustração: Dr. Rafael Bruns — Tipos de placenta prévia conforme a relação com o orifício interno do colo uterino.
Por que a posição muda ao longo da gestação
A placenta prévia não é uma posição permanente. O útero cresce progressivamente, e o segmento inferior se expande de forma importante no segundo e terceiro trimestres. Esse crescimento “afasta” a borda placentária do colo na maioria das gestações — um fenômeno chamado de migração placentária.
A migração ocorre em média na velocidade de 5,4 mm por semana durante o segundo trimestre. Mais de 98% dos casos de placenta baixa ou prévia identificados antes de 26 semanas se resolvem antes do parto. Em números mais concretos: de todas as gestantes com diagnóstico de placenta prévia entre 20 e 24 semanas, apenas 5 a 10% ainda terão placenta prévia confirmada entre 34 e 36 semanas.
Isso explica por que um laudo de “placenta baixa” no morfológico gera angústia muitas vezes desnecessária — e por que o diagnóstico definitivo só pode ser estabelecido no terceiro trimestre.
Diagnóstico precoce não significa desfecho grave. Significa que o acompanhamento precisa ser mais atento e que a reavaliação ultrassonográfica é indispensável.
Quem tem mais risco
A placenta prévia acomete aproximadamente 0,5 a 1% das gestações globalmente, mas sua incidência tem aumentado — consequência direta do crescimento nas taxas de cesárea e do uso de técnicas de reprodução assistida.
Alguns fatores aumentam significativamente a probabilidade de implantação placentária baixa — e especialmente de que ela persista até o termo:
- Cesáreas anteriores: cada cesárea deixa cicatriz no segmento uterino inferior, alterando a vascularização e a superfície de implantação nas gestações seguintes. O risco aumenta progressivamente com o número de cirurgias
- Cirurgias uterinas prévias: miomectomia, curetagem, ressecção de pólipos intracavitários, remoção manual de placenta anterior
- Fertilização in vitro (FIV): as técnicas de transferência embrionária estão associadas a maior frequência de implantação baixa
- Gestação gemelar: placentas maiores têm maior probabilidade de alcançar o segmento inferior — saiba mais no artigo sobre gestação gemelar e seus riscos
- Multiparidade e idade materna acima de 35 anos
- Tabagismo e uso de cocaína na gestação
- Histórico de placenta prévia em gestações anteriores
A relação entre cesárea e complicações placentárias merece atenção especial. Em gestantes com placenta prévia e sem cesárea prévia, o risco de acretismo associado é de aproximadamente 3%. Com três ou mais cesáreas anteriores, esse risco pode superar 60%. É uma das razões pelas quais a indicação criteriosa de cesárea importa — não apenas para a gestação atual, mas para as futuras.
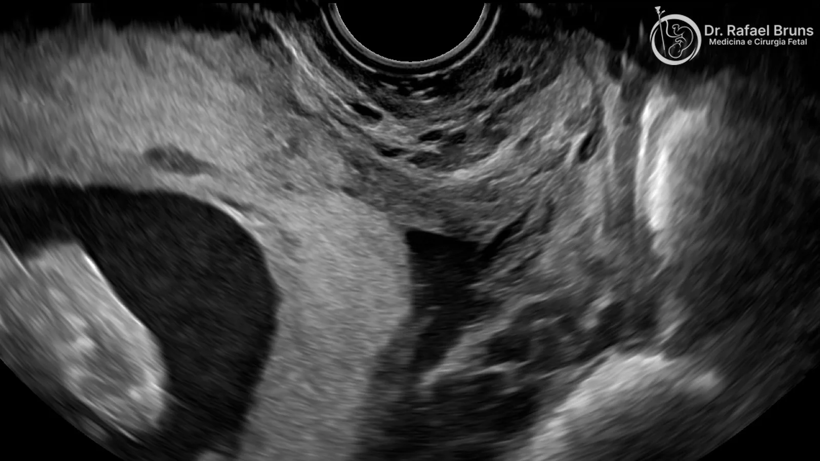
Como é diagnosticada
O diagnóstico é feito por ultrassom — o padrão-ouro para avaliação da localização placentária. Diferentes abordagens se complementam conforme a semana gestacional e o contexto clínico.
Ultrassom transabdominal de rotina
A posição da placenta é documentada em todos os ultrassons obstétricos. Quando a borda inferior está próxima ou sobre o colo, isso é registrado e reavaliado. O morfológico do segundo trimestre já identifica a localização placentária com boa precisão — mas a visualização pode ser limitada por posição fetal, obesidade ou volume vesical insuficiente.
Ultrassom transvaginal: o exame de referência
Quando há suspeita de placenta prévia, o ultrassom transvaginal mede com exatidão a distância entre a borda placentária e o orifício interno do colo. A sonda transvaginal permite visualizar o segmento inferior sem a interferência do tecido adiposo ou da posição fetal. É seguro: a via transvaginal não alcança o colo uterino e estudos controlados não mostram aumento de sangramento associado ao exame.
Doppler colorido e avaliação do segmento inferior
O Doppler colorido tem papel central quando há suspeita de acretismo placentário associado. Avalia a vascularização retroplacentária e da interface útero-bexiga, detecta vasos “pontes” entre placenta e bexiga (bridging vessels) e identifica lacunas intraplacentárias — os marcadores ultrassonográficos mais específicos e confiáveis de invasão anormal.
Quando suspeitar de acretismo associado
A associação entre placenta prévia e cesárea anterior é o principal fator de risco para o espectro de acretismo placentário — condições em que a placenta adere ou invade anormalmente a parede uterina. A avaliação ultrassonográfica pré-operatória, realizada no terceiro trimestre, permite estratificar o risco cirúrgico antes do parto.
Os principais marcadores ultrassonográficos que orientam essa avaliação incluem:
- Adelgaçamento miometrial: a parede uterina abaixo da placenta torna-se progressivamente mais fina nas gestantes com cicatrizes de cesárea. Espessuras menores que 1 mm indicam deiscência importante do segmento inferior
- Perda da zona clara retroplacentária: a faixa hipoecogênica entre placenta e miométrio — quando ausente — é sinal precoce de invasão anormal
- Protrusão (“bulge”) placentária: quando o segmento inferior está tão fino que a placenta projeta para além do contorno uterino em direção à bexiga, há risco elevado de lesão vesical durante a cesárea
- Lacunas intraplacentárias: espaços vasculares irregulares dentro da placenta visíveis ao ultrassom em escala de cinza — são os marcadores mais específicos e confiáveis de acretismo placentário
- Hipervascularização e bridging vessels: vasos que atravessam a interface útero-bexiga, identificados pelo Doppler colorido
Com base nesses achados, uma proposta de estratificação publicada no American Journal of Obstetrics and Gynecology em 2026 classifica o risco cirúrgico em três níveis:
Nível I — Complexidade padrão
Uma cesárea anterior. Deiscência focal do segmento inferior (<30% da superfície). Vascularização retroplacentária normal. Risco de hemorragia pós-parto abaixo de 50%, histerectomia abaixo de 10%. Equipe obstétrica experiente habitual.
Nível II — Complexidade aumentada
Duas ou mais cesáreas. Remodelação extensa do segmento inferior, deiscência >50% da superfície, protrusão placentária. Vascularização retroplacentária ainda normal. Risco de lesão vesical em torno de 5% e histerectomia em até 25%. Requer planejamento multidisciplinar antecipado.
Nível III — Alta complexidade
Placenta prévia com invasão (acreta). Lacunas intraplacentárias e hipervascularização retroplacentária ao Doppler. Risco de hemorragia acima de 2.000 mL, lesão vesical em até 15%, histerectomia em até 85%. Exige centro especializado com equipe experiente em espectro de acretismo.

Riscos maternos e fetais
Conhecer os riscos não é para criar medo — é para que o planejamento seja proporcional à situação real de cada caso.
Riscos maternos
O principal risco da placenta prévia é o sangramento. A placenta prévia é uma das principais causas de hemorragia no terceiro trimestre. O sangramento ocorre porque, à medida que o segmento uterino inferior se expande fisiologicamente, a placenta aderida nessa região não acompanha o crescimento com a mesma elasticidade — e pequenas áreas de descolamento ocorrem.
Outros riscos maternos incluem: choque hipovolêmico por perda importante de sangue; trabalho de parto prematuro desencadeado pelo sangramento; posição anômala do bebê (o segmento inferior, ocupado pela placenta, não permite que a cabeça fetal se encaixe); e, nos casos mais complexos, necessidade de histerectomia quando o sangramento não pode ser controlado cirurgicamente por outros meios.
Riscos para o bebê
A placenta prévia responde por aproximadamente 5% de todos os partos prematuros — o sangramento antenatal é o principal fator desencadeante. Gestações complicadas por placenta prévia apresentam também taxas mais elevadas de restrição de crescimento fetal e baixo peso ao nascer.
A mortalidade neonatal é maior nessas gestações quando comparada à população geral — em grande parte explicada pela prematuridade e suas consequências, como síndrome de angústia respiratória e infecções neonatais. Gestações que chegam a termo com placenta prévia não complicada, quando devidamente planejadas, têm desfechos substancialmente melhores.
O que muda no acompanhamento
O diagnóstico de placenta prévia transforma a gestação em pré-natal de alto risco — e o acompanhamento precisa refletir isso.
Vigilância do sangramento
- Orientação clara: procurar emergência a qualquer sangramento vaginal, mesmo que pequeno ou indolor
- Evitar toque vaginal — o exame especular estéril substitui quando necessário
- Restrição de atividade física e relações sexuais nos casos com sangramento recorrente
- Internação hospitalar quando o sangramento é significativo ou repetido
Ultrassons seriados
- Reavaliação da posição placentária com transvaginal no terceiro trimestre — idealmente entre 28 e 32 semanas e próximo do parto
- Monitoramento de marcadores de acretismo nas gestantes de risco (cesáreas anteriores + placenta anterior)
- Avaliação do crescimento fetal e Doppler para rastreio de restrição
Planejamento multidisciplinar
- Nos casos de risco cirúrgico elevado (níveis II e III), envolvimento precoce de anestesiologia, urologia e banco de sangue
- Corticosteroides antenatais (betametasona) quando há risco de parto antes de 34 semanas — reduzem complicações pulmonares do prematuro
- Definição antecipada do hospital para o parto — idealmente com UTI neonatal e estrutura para cirurgia complexa
Planejamento do parto
O momento e o modo do parto dependem de três fatores: a posição final da placenta, a presença ou ausência de sangramento ativo e o risco cirúrgico avaliado pelo ultrassom pré-operatório.
Momento do parto: para placenta prévia completa não complicada — sem acretismo confirmado e sem sangramento importante —, as diretrizes internacionais recomendam cesárea eletiva entre 36 e 37 semanas de gestação. Esse intervalo equilibra o risco de sangramento espontâneo com o risco de prematuridade. Em casos com sangramento recorrente ou risco elevado, o parto pode ser antecipado individualmente.
Via de parto: a cesárea é obrigatória quando a placenta cobre o orifício interno do colo. Quando a borda placentária está abaixo de 20 mm mas sem cobrir o colo (inserção baixa), o parto vaginal pode ser considerado dependendo da distância exata medida pelo transvaginal após 35 semanas.
Incisão uterina: a incisão transversa baixa é preferida na maioria dos casos. Em placentas com implantação anterior que cobrem todo o segmento inferior, a incisão pode precisar ser modificada para evitar o corte da placenta durante a extração fetal — o que aumentaria significativamente a perda sanguínea.
O planejamento antecipado é o que mais impacta o desfecho. Quando a equipe sabe com antecedência o nível de complexidade cirúrgica esperado — com base no ultrassom pré-operatório detalhado —, pode mobilizar os recursos certos no momento certo. Checklists e procedimentos padronizados para cesárea-histerectomia em centros experientes estão associados a menor perda sanguínea e menos tempo em UTI.
Quando buscar avaliação especializada em placenta prévia
- O ultrassom identificou placenta baixa ou prévia — em qualquer trimestre
- Você tem uma ou mais cesáreas anteriores e a placenta está próxima ou sobre o colo
- Houve sangramento vaginal em qualquer momento da gestação
- O diagnóstico de placenta prévia foi confirmado e você ainda não conversou com especialista em medicina fetal
- Há suspeita de acretismo placentário associado mencionada no laudo do ultrassom
- Você está se aproximando de 36 semanas com placenta prévia confirmada e ainda não tem plano de parto definido
- Mora fora de Curitiba ou Porto Alegre e quer entender o risco antes de decidir onde ter o bebê
Atendimento presencial em Curitiba e Porto Alegre. Teleconsulta disponível para avaliação de exames e planejamento de parto para pacientes de qualquer estado.
Perguntas frequentes
Referências
- Jauniaux E, Nieto-Calvache AJ, Hussein AM. Preoperative ultrasound assessment for surgical risk management in patients with a placenta previa and a history of cesarean delivery. Am J Obstet Gynecol. 2026;234(Suppl):S641–S644. doi:10.1016/j.ajog.2025.06.012
- Sahu SA, Shrivastava D. Maternal and Perinatal Outcomes in Placenta Previa: A Comprehensive Review of Evidence. Cureus. 2024;16(5):e59737. doi:10.7759/cureus.59737
- Jain V, Bos H, Bujold E. Guideline No. 402: Diagnosis and Management of Placenta Previa. J Obstet Gynaecol Can. 2020;42(7):906–917. doi:10.1016/j.jogc.2019.07.019
- Jauniaux E, Alfirevic Z, Bhide AG, et al. Placenta praevia and placenta accreta: diagnosis and management. Green-top guideline No. 27a. BJOG. 2019;126:e1–48.
- Nieto-Calvache AJ, et al. Telemedicine ultrasound assessment for placenta accreta spectrum: utility and interobserver reliability of asynchronous remote imaging review. Int J Gynaecol Obstet. 2025;168:1191–1203.
Conteúdo com finalidade educativa. Não substitui avaliação médica individualizada. Diagnóstico e tratamento dependem de consulta presencial ou por telemedicina com avaliação individualizada. Teleconsulta regulamentada pela Resolução CFM 2.314/2022.

