Medicina Fetal
Quando o médico pede uma neurossonografia fetal, geralmente é porque o ultrassom de rotina levantou alguma dúvida — ou porque existe um fator de risco na gestação que merece uma avaliação mais detalhada do sistema nervoso do bebê. Seja qual for o motivo, o encaminhamento chega com perguntas: o que é esse exame? É diferente do morfológico? O que vão conseguir ver?
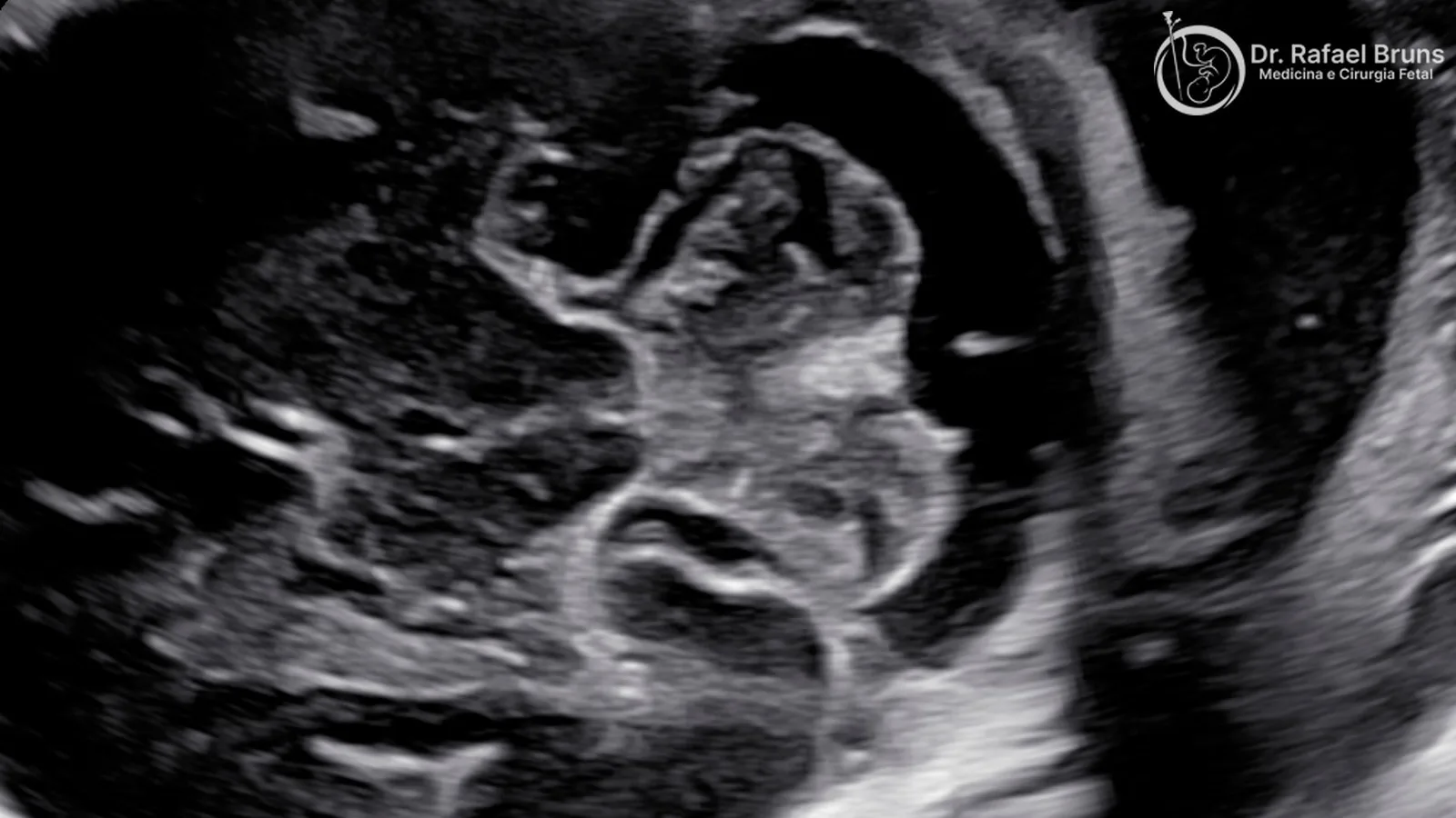
O que é a neurossonografia fetal
A neurossonografia fetal é um exame de ultrassom especializado voltado exclusivamente para o sistema nervoso central do feto — o cérebro, o cerebelo e a coluna vertebral. Diferente do ultrassom morfológico de segundo trimestre, que avalia todos os órgãos do bebê em uma varredura sequencial, a neurossonografia dedica todo o exame ao neuroeixo, com técnica e tempo específicos para isso.
A diferença técnica mais importante está nos planos utilizados. O morfológico avalia o crânio fetal principalmente em planos axiais (cortes horizontais). A neurossonografia incorpora planos sagitais, parassagitais e coronais — cortes que permitem visualizar estruturas que, em ângulos convencionais, ficam parcialmente ocultas ou mal definidas. O exame também pode usar recursos 3D e 4D para complementar a avaliação quando necessário.
Em termos práticos: o morfológico é a triagem. A neurossonografia é o diagnóstico especializado do sistema nervoso.
Quando a neurossonografia fetal é indicada
A indicação mais comum é uma suspeita de alteração neurológica identificada em outro exame — quase sempre o morfológico de segundo trimestre ou uma ultrassonografia obstétrica de rotina. Se alguma estrutura do SNC ficou com aparência duvidosa, a neurossonografia fetal é o próximo passo natural — mais acessível e menos custosa que a ressonância magnética fetal, e suficiente para responder à maioria das perguntas clínicas.
Além da suspeita direta, existem situações em que o exame é indicado de forma preventiva, mesmo com morfológico normal:
Infecções congênitas confirmadas ou suspeitas — toxoplasmose, rubéola, citomegalovírus (CMV), sífilis e Zika vírus podem afetar o desenvolvimento do cérebro fetal mesmo antes de qualquer alteração aparecer no morfológico de rotina.
Histórico familiar de malformações do SNC — como espinha bífida — defeito no fechamento do tubo neural, holoprosencefalia (falha na divisão do cérebro em dois hemisférios) ou agenesia do corpo caloso (ausência da estrutura que conecta os dois hemisférios cerebrais) em gestações anteriores ou parentes de primeiro grau.
Anomalias genéticas identificadas — quando o cariótipo ou o exoma fetal aponta para uma síndrome com potencial repercussão neurológica, a neurossonografia completa a avaliação.
Fatores de risco materno — diabetes pré-gestacional mal controlado, uso de determinadas medicações no primeiro trimestre ou exposição a agentes teratogênicos (substâncias que podem causar defeitos no desenvolvimento do feto) são situações que justificam o rastreio especializado.
Restrição de crescimento fetal (RCIU) grave — nos casos com comprometimento severo do crescimento fetal, pode haver repercussão no desenvolvimento cerebral que merece avaliação detalhada.
Ventriculomegalia limítrofe no morfológico — quando os ventrículos cerebrais estão levemente aumentados mas dentro de uma zona de incerteza, a neurossonografia fetal define melhor se há progressão ou estabilidade.
É importante dizer: a maioria dos exames de neurossonografia traz tranquilidade, não diagnósticos. O encaminhamento indica cautela — não necessariamente problema.

O que a neurossonografia fetal avalia
O exame avalia de forma sistemática as principais estruturas do sistema nervoso central fetal. Cada uma tem papel específico no desenvolvimento neurológico do bebê:
Ventrículos cerebrais — cavidades cheias de líquido cerebrospinal dentro do cérebro. O acúmulo de líquido acima do esperado (ventriculomegalia — dilatação dos ventrículos) é uma das alterações mais detectadas pelo exame. A neurossonografia mede com precisão o grau de dilatação e orienta se há progressão ao longo da gestação.
Corpo caloso — estrutura que conecta os dois hemisférios cerebrais. Sua ausência total ou parcial — chamada agenesia do corpo caloso — frequentemente não é identificada no morfológico convencional. A neurossonografia avalia essa estrutura nos planos sagitais específicos que tornam o diagnóstico muito mais confiável.
Cerebelo e vermis cerebelar — o cerebelo é responsável pela coordenação motora. O vermis é a parte central que une os dois hemisférios cerebelares. Malformações como a síndrome de Dandy-Walker — caracterizada pela ausência ou hipoplasia do vermis e dilatação do quarto ventrículo — são identificadas com detalhamento que o morfológico não alcança.
Sulcação e girificação cortical — os sulcos e giros (dobras do córtex cerebral) começam a se formar a partir de 26–28 semanas. Em gestações com risco de alterações da migração neuronal — o processo pelo qual as células nervosas se deslocam para as camadas corretas do córtex —, esse dado é fundamental para o acompanhamento.
Fossa posterior — a região do crânio que abriga o cerebelo e o tronco cerebral. O exame usa os planos transtalâmico (que passa pelo tálamo e pelo septo pelúcido) e transcerebelar (que corta o cerebelo transversalmente) para medir estruturas-chave dessa região.
Coluna vertebral e tubo neural — a espinha bífida — defeito no fechamento do tubo neural, que envolve a medula espinhal — pode ser avaliada em detalhes ao longo de toda a coluna. O exame verifica o fechamento vértebra a vértebra.
Suturas e fontanelas cranianas — a avaliação dessas estruturas permite investigar craniossinostoses — o fechamento prematuro das suturas do crânio, que pode restringir o crescimento cerebral. A análise crítica dessas estruturas é um diferencial da neurossonografia em relação ao morfológico padrão.

Em que semana fazer a neurossonografia
O período ideal para a neurossonografia fetal é entre 28 e 34 semanas de gestação — quando as estruturas cerebrais estão suficientemente desenvolvidas para uma avaliação precisa e o ângulo ultrassonográfico ainda é favorável. O exame pode ser realizado a partir de 26 semanas e até 36 semanas, mas a janela de 28 a 34 semanas oferece as melhores condições técnicas para a maioria das indicações.
Em protocolos específicos — como nos casos de suspeita de espinha bífida com avaliação de elegibilidade para cirurgia fetal —, o exame pode ser solicitado mais cedo, dentro do planejamento clínico do caso.
O que acontece no dia do exame
A neurossonografia fetal não exige preparo específico. Não há restrição de jejum nem de atividade. Não é necessário tomar nenhuma medicação.
O exame é feito com a gestante deitada em posição confortável. Na maioria dos casos, é realizado pela via abdominal — com o transdutor (a “sonda” do ultrassom) posicionado sobre o abdome, com gel condutor. Em algumas situações — gestações mais precoces ou posição do bebê que dificulta a visualização de determinadas estruturas —, pode ser necessário o complemento pela via transvaginal, que também é seguro e não causa desconforto significativo.
O tempo de duração é mais longo do que um ultrassom de rotina: a neurossonografia normalmente leva entre 40 e 60 minutos, dependendo da complexidade do caso e da posição do bebê. Se o bebê não está colaborando com a posição ideal, o especialista aguarda ou pede que a gestante mude de posição, beba água ou caminhe por alguns minutos.
As imagens são gravadas durante o exame. O laudo é emitido pelo especialista em neurologia fetal — um profissional com treinamento específico nessa área — com medidas, descrição de cada estrutura avaliada e interpretação clínica detalhada.
O exame não usa radiação ionizante: como todo exame de ultrassom, é seguro para a mãe e para o bebê.
Neurossonografia e morfológico: qual é a diferença na prática
O ultrassom morfológico de segundo trimestre avalia todos os órgãos do bebê em uma sequência protocolar. Ele inclui uma avaliação do cérebro fetal — mas em planos padrão, com tempo proporcional ao todo do exame.
A neurossonografia parte de onde o morfológico termina. Dedica todo o exame ao SNC, usa planos adicionais (sagital, parassagital e coronal, além dos axiais do morfológico) e avalia estruturas que não fazem parte do protocolo do morfológico convencional. A comparação técnica documentada em estudos mostra que a neurossonografia tem potencial diagnóstico significativamente superior ao morfológico para malformações complexas do SNC.
Isso não significa que o morfológico seja insuficiente — para a grande maioria das gestações, ele cumpre exatamente o papel que deve. A neurossonografia é o passo seguinte quando o morfológico levanta uma suspeita, ou quando o risco clínico justifica uma avaliação mais detalhada.
Cada exame tem seu lugar. Os dois se complementam.
“A neurossonografia fetal é onde o morfológico termina. Ela dedica todo o exame ao sistema nervoso central — com planos e técnica que o morfológico de rotina não alcança.”
QUANDO A NEUROSSONOGRAFIA FETAL É RECOMENDADA
- O morfológico identificou ou levantou suspeita de alteração no cérebro, cerebelo ou coluna do bebê
- Você teve uma infecção durante a gestação (toxoplasmose, citomegalovírus, rubéola, sífilis, Zika)
- Há histórico familiar de malformação do sistema nervoso central
- O cariótipo ou exame genético identificou alteração com possível repercussão neurológica
- Existe restrição de crescimento fetal com suspeita de comprometimento cerebral
- O médico que acompanha a gestação solicitou o exame como complementação diagnóstica
- Você quer uma segunda avaliação antes de tomar decisões clínicas importantes
Atendimento em Curitiba e Porto Alegre. Teleconsulta disponível para orientação inicial e revisão de laudos.
Perguntas frequentes
Referências
- Malinger G, Paladini D, Haratz KK, Monteagudo A, Pilu GL, Timor-Tritsch IE. ISUOG Practice Guidelines (updated): sonographic examination of the fetal central nervous system. Part 1: performance of screening examination and indications for targeted neurosonography. Ultrasound Obstet Gynecol. 2020;56(3):476–484.
- Paladini D, Malinger G, Birnbaum R, Monteagudo A, Pilu G, Salomon LJ, Timor-Tritsch IE. ISUOG Practice Guidelines (updated): sonographic examination of the fetal central nervous system. Part 2: performance of targeted neurosonography. Ultrasound Obstet Gynecol. 2021;57(4):661–671.
- Malinger G, Birnbaum R, Haratz KK. Dedicated neurosonography for recognition of pathology associated with mild-to-moderate ventriculomegaly. Ultrasound Obstet Gynecol. 2020;56(3):319–323.
Conteúdo com finalidade educativa. Não substitui avaliação médica individualizada.

